口コミ評判ナンバー1です
こんにちは
またまた大塚です🌸
まだまだ寒い日が続いてますね…
今度の水曜日にはなんと雪かみぞれの予報が出ているようです☃️
風邪などひかないよう気をつけてくださいね。
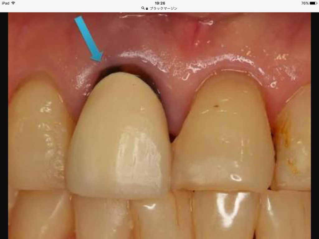
皆さんは、ブラックマージンと言うのうを聞いた事ありますか⁇
写真だとこんなに感じです

これは、型取りするときに
歯茎の状態がきちんと整っていないのに
歯茎が腫れたまま型取りしたので結果
その状態で被せ物が出来ていて
つけたときは大丈夫でも、時間が経ち歯茎が正常に戻っていくと
腫れてた部分に隙間が生じてしまうのでこのような黒いラインが出来てしまうのです。
当院では一度治した歯は2度と手をつけないと言うの心がけていますので
歯茎が腫れている場合には、きちんと歯茎のケアをしてから
型取りに進みます。
被せ物が入るまでに時間がかかってしまいますが
その後の結果にこんな結果が出ますので
きちんとケアしていきましょう・:*+.(( °ω° ))/.:+
◇◆◇◆◇◆◇◆◇◆◇◆◇◆◇◆◇◆◇◆◇